పొడుగు పెరగడానికి కాళ్లకు సర్జరీలు: చాలా సమస్యలున్నా పెరుగుతున్న ఆపరేషన్లు.. ఎత్తు పెరగడం మీద ఎందుకంత మోజు?

ఫొటో సోర్స్, DR S. ROBERT ROZBRUCH
- రచయిత, టామ్ బ్రాడా
- హోదా, బీబీసీ న్యూస్
కొన్ని అంగుళాల పొడుగు పెరగడానికి ప్రతి ఏటా ప్రపంచవ్యాప్తంగా అనేక మంది కాళ్లకు సర్జరీలు చేయించుకుంటున్నారు.
ఈ చికిత్స చాలా క్లిష్టమైనదని, సుదీర్ఘమైనదని, నొప్పితో కూడుకున్న వ్యవహారమని తెలిసినా వందలాది మంది సర్జరీవైపే మొగ్గు చూపుతున్నారు. అయితే, దీనివల్ల రిస్క్ ఉందని, దీర్ఘకాలంలో అనారోగ్య సమస్యలొస్తాయని వైద్య నిపుణులు అంటున్నారు.
పొడుగ్గా కనిపించడానికి అనేక ప్రయత్నాలు చేసి, చివరకు సర్జరీకే మొగ్గు చూపిన శామ్ బెకర్ తన అనుభవాలను ఇలా వివరిస్తున్నారు...
"చిన్నప్పుడు పొడుగ్గా ఉండేవాడిని, కానీ కాలేజీకెళ్లేసరికి అందరిలోనూ నేనే పొట్టిగా కనిపించేవాడిని. మా కాలేజీలో కొంతమంది అమ్మాయిలు కూడా నాకన్నా పొడుగ్గా ఉండేవారు. పొడవులో ఏముంది అనుకుంటాం కానీ ఇది జీవితాలపై ప్రభావం చూపిస్తుంది. పొట్టిగా ఉండే వాళ్లతో అమ్మాయిలు స్నేహానికి గానీ, డేటింగ్ చెయ్యడానికి కానీ ఇష్టపడరు. ఒక్కోసారి నాకసలు పెళ్లవ్వదేమో, భార్య దొరకదేమో అని బెంగపడేవాడిని.
నాకు 30 ఏళ్లు వచ్చేసరికి ఇంక ఇంతకన్నా పొడుగు పెరగనని, పెరిగే వయసు దాటిపోయిందని అర్థమయ్యింది. జీవితంలో విజయం సాధించడానికి, పొడుగ్గా ఉండడానికి సంబంధం ఉందని నాకనిపించేది. పొడుగవ్వడానికి ఏదో ఒక మార్గం వెతకాలని పట్టుదలగా ఉండేది” అని శామ్ చెప్పారు.

శామ్ అనేక రకాలుగా ఆలోచించడం మొదలుపెట్టారు. ఎత్తు బూట్లు వేసుకోవడం, వ్యాయామాలు చెయ్యడం.. ఏవీ పని చెయ్యలేదు. అప్పుడు ఆయనకు సర్జరీ గురించి తెలిసింది. తన తల్లిని ఒప్పించి, 2015లో కాళ్లకు సర్జరీ చేయించుకున్నారు.
ఐదు అడుగుల 4 అంగుళాల ఎత్తు ఉండే అతను.. ఐదు అడుగుల 7 అంగుళాలకు పెరిగేట్లు శస్త్రచికిత్స చేయించుకున్నారు. అంటే 162 సెంటీమీటర్ల నుంచి 170 సెంటీమీటర్ల ఎత్తు పెరిగేట్లు ఆపరేషన్ చేయించుకున్నారు.
"ఈ ఆపరేషన్ ఎంత క్లిష్టమైనదో డాక్టర్లు ముందే చెప్పారు. మూడు అంగుళాలు పెరిగిన తరువాత నేను సరిగ్గా నడవగలుగలనా, పరిగెత్తగలనా అనే సందేహాలు వచ్చాయి.
ఆపరేషన్ తరువాత ఆరు నెలల పాటు వారానికి మూడు, నాలుగు రోజులు ఫిజియో థెరపీ చేయించుకోవాల్సి వచ్చింది. ఇదో కొత్త అనుభవం. కాళ్లు విరగ్గొట్టి అతికించుకుని, మళ్లీ నడక నేర్చుకోవడం.. వింతైన అనుభవం. మానసికంగా స్వస్థత పొందడానికి నేను చాలా ప్రయత్నించాను" అని శామ్ వివరించారు.
డజనుకు పైగా దేశాల్లో కాళ్ల పొడవును 5 అంగుళాల దాకా పెంచగలిగే సర్జరీ అందుబాటులో ఉంది. ఈ సర్జరీ క్రమేపీ పాపులర్ అవుతోందని క్లినిక్స్ అంటున్నాయి. ఈ సర్జరీలు నిర్వహించే కొన్ని హాస్పిటల్స్తో బీబీసీ మాట్లాడింది.

ఫొటో సోర్స్, Getty Images
అమెరికా, జర్మనీ, దక్షిణ కొరియా లాంటి దేశాల్లో ఏడాదికి 100 నుంచి 200 వరకు సర్జరీలు చేస్తున్నారు. ఇండియా, స్పెయిన్, టర్కీ, ఇటలీ లాంటి దేశాల్లో ఏడాదికి 20 నుంచి 40 ఆపరేషన్లు జరుగుతున్నాయి.
బ్రిటన్లో కొంచం తక్కువగా ఏటా 15 సర్జరీలు జరుగుతున్నాయి. అయితే, ప్రతి ఏడాదీ సర్జరీల సంఖ్య పెరుగుతోందని దాదాపు అన్ని క్లినిక్లూ తెలిపాయి.
యూకేలో ఈ సర్జరీ చేయించుకోవడానికి సుమారు రూ. 50 లక్షల వరకూ ఖర్చవుతుంది. అమెరికాలో రూ. 55 లక్షల నుంచి రూ. 2 కోట్ల వరకూ ఖర్చవుతుంది.
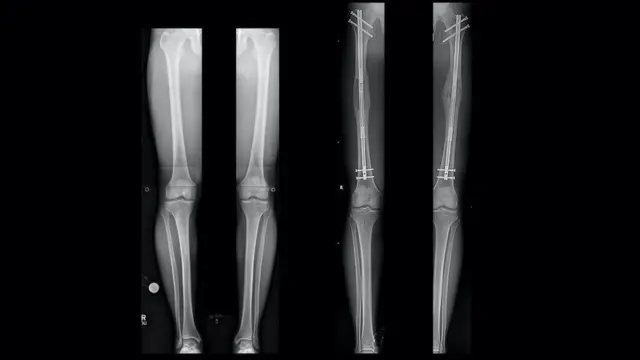
నాటి సోవియట్ రష్యాకు చెందిన వైద్యులు గావ్రిల్ ఇలిజరోవ్ ఈ చికిత్సను కనుగొన్నారు. రెండో ప్రపంచ యుద్ధ సమయంలో యుద్ధంలో గాయపడిన సైనికులకు చికిత్స చేసేటపుడు ఈ సర్జరీకి పునాది పడింది. గత 70 ఏళ్లల్లో ఈ చికిత్సా విధానం అభివృద్ధి చెందినప్పటికీ మూల సూత్రాలు ఏమీ మారలేదు.
కాళ్లల్లోని ఎముకలకు రంధ్రం చేసి, వాటిని రెండుగా విడదీస్తారు. తరువాత వాటి మధ్య లోహంతో చేసిన ఒక రాడ్ను అమర్చి, కావలసిన పరిమాణానికి చేరుకునేవరకూ ప్రతి రోజూ దాన్ని ఒక్కో మిల్లీ మీటర్ చొప్పున పెంచుతూ ఉంటారు. ఇది సుదీర్ఘమైన ప్రక్రియ.
అనంతరం, చికిత్స చేయించుకున్న వ్యక్తి పూర్తిగా కోలుకోవడానికి కొన్ని నెలల పాటు థెరపీ చేయించుకోవల్సి ఉంటుంది.
ఈ చికిత్సలో అనేక రకాల రిస్కులు ఉన్నాయి. నరాలు దెబ్బ తినడం, రక్తం గడ్డకట్టడం, కాళ్లల్లో ఎముకలు అతుక్కోకపోవడం లాంటి అనేక సమస్యలు రావొచ్చు.

దీర్ఘకాలిక సమస్యలు తలెత్తొచ్చు
బార్నీకి ఎదురైన ఒక ఆరోగ్య సమస్యను పరిష్కరించేందుకు ఆయన కాళ్లను నిటారుగా నిలబెట్టే ఆపరేషన్ చేయాల్సి వచ్చింది. పనిలో పనిగా పొడుగు పెరిగే సర్జరీ కూడా చేయించుకోవాలని బార్నీ భావించారు. తన పొడవు మూడు అంగుళాలు పెరిగేలా 2015లో ఇటలీలో చికిత్స చేయించుకున్నారు.
ఈ రెండు చికిత్సలూ ఒకేసారి చేసేయొచ్చని, రికవరీకి అంతే సమయం పడుతుందని డాక్టర్లు బార్నీకి భరోసా ఇచ్చారు. కానీ, చికిత్స తరువాత బార్నీకి అనేక రకాల ఆరోగ్య సమస్యలు ఎదురయ్యాయి.
“16 ఏళ్లప్పుడే చికిత్స చేయించుకుని ఉంటే ఇన్ని సమస్యలు వచ్చేవి కావేమో గానీ 46 ఏళ్ల వయసులో సర్జరీ చేయించుకోవడం వలన అనేక ఇబ్బందులు ఎదుర్కోవాల్సి వస్తోంది” అని బార్నీ తెలిపారు.
ఇది చాలా నొప్పితో కూడుకున్న వ్యవహారమని, బాధ భరించడం కష్టమని బార్నీ వివరించారు. ఆయనకు ఎముకలు అతుక్కోవడానికి చాలా సమయం పట్టింది.
ప్రస్తుతం ఈ సర్జరీని ప్రైవేటు ఆస్పత్రులు మాత్రమే చేస్తున్నాయి.
"గత కొన్నేళ్లుగా ఈ చికిత్సకు కావలసిన సాంకేతికత ఎంతో అభివృద్ధి చెందింది గానీ ఇది చాలా క్లిష్టమైన సర్జరీ. ఎన్నో రకాల సమస్యలు వచ్చే అవకాశం ఉంది" అని బ్రిటిష్ ఆర్థోపెడిక్ అసోసియేషన్కు చెందిన ప్రొఫెసర్ హామిష్ సింప్సన్ అంటున్నారు.
“కాళ్లకు చికిత్స చేయించుకున్న కొందరు రోగులలో మానసిక సమస్యలు కూడా తలెత్తాయి.. బాడీ డిస్మార్ఫియా లాంటి సమస్యలు వచ్చాయి” అని యూకేకు చెందిన ఆర్థోపెడిక్ సర్జన్ డేవిడ్ గూడియర్ తెలిపారు.
"ఎక్కడో మరో దేశంలో సర్జరీ చేయించుకుని, ఇంటికి వెళిపోయిన తరువాత ఆరోగ్య సమస్యలొస్తే ఎక్కడికి వెళతారు? దీనికి సంబంధించిన సమస్యలను పరిష్కరించే సామర్థ్యం అన్ని ఆస్పత్రులలో ఉండదు" అని ఆయన అంటున్నారు.
బెర్నీకి కాళ్లల్లోంచి మెటల్ రాడ్ తియ్యడానికి ఐదేళ్లు పట్టింది. ఈ ఐదేళ్ల కాలంలో ఆయన అనేక రకాల శారీరక, మానసిక సమస్యలు ఎదుర్కొన్నారు.
"అయిందేదో అయిపోయింది. ఇప్పుడు నాకు చింత లేదు. ఈ సర్జరీ చేయించుకున్నవాళ్లందరికీ నాకొచ్చినన్ని సమస్యలు రాకపోవచ్చు. నాకు రికవరీకి ఇంకొన్నాళ్లు పట్టొచ్చు. కానీ ఈ సర్జరీ చేయించుకోవడం మంచి పనే అని నేను భావిస్తున్నాను. పొట్టిగా ఉండడం వలన మనుషులు ఎదుర్కొనే పక్షపాతానికి ఇక స్వస్తి. ఇది నాకు మరో జన్మలాంటిది" అని బార్నీ తెలిపారు.
ఇవి కూడా చదవండి:
- అవిభక్త కవలలు: 19 ఏళ్ల కిందట సర్జరీతో విడిపోయిన ఈ సయామీ కవలలు... ఇప్పుడు ఎలా ఉన్నారంటే...
- ఉత్తర భారతదేశంలో వరి ఎక్కువగా సాగు చేయటమే.. పంట వ్యర్థాల దగ్ధం సమస్యలకు కారణమా?
- కంభం చెరువుకు అంతర్జాతీయ గుర్తింపు ఎలా వచ్చింది... స్థానిక రైతులు ఏం ఆశిస్తున్నారు?
- భాగ్యలక్ష్మి ఆలయం: చార్మినార్ పక్కనే ఉన్న ఈ గుడిని ఎప్పుడు కట్టారు? చరిత్ర ఏం చెబుతోంది?
- ఆలయంలో ముద్దు సీన్, నెట్ఫ్లిక్స్పై సోషల్ మీడియాలో ఆగ్రహం
- రైతు ఆత్మహత్యలు: ‘మా అమ్మను వ్యవసాయం చేయనివ్వను’
- ఒక ఉల్కను అమ్మేసి, రాత్రికి రాత్రే కోటీశ్వరుడు అవుదామనుకున్నాడు. కానీ...
- "పార్లమెంటుకు పట్టని అన్నదాతల వ్యథలు"
- జీరో బడ్జెట్ వ్యవసాయం అంటే ఏమిటి? కేంద్ర ఆర్ధికమంత్రి ఏపీని ఎందుకు ప్రస్తావించారు...
- స్మార్ట్ వ్యవసాయం: భూమి అక్కర్లేదు, కూలీలతో పనిలేదు... అత్యంత వేగంగా పంటలు పండించొచ్చు
(బీబీసీ తెలుగును ఫేస్బుక్, ఇన్స్టాగ్రామ్, ట్విటర్లో ఫాలో అవ్వండి. యూట్యూబ్లో సబ్స్క్రైబ్ చేయండి.)









