Nauka: Može li veštačka inteligencija da pomogne u lečenju Alchajmerove bolesti

Autor fotografije, Getty Images
- Autor, Nikolaj Voronjin
- Funkcija, BBC nauka
- Vreme čitanja: 2 min
Dijagnostikovanje Alchajmerove bolesti može biti veoma teško - posebno u ranim fazama, kada se pacijentu još može pomoći. Tako se bar smatralo donedavno.
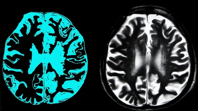
Međutim, kako je pokazao eksperiment koji su sproveli britanski naučnici, ova bolest se može prilično precizno dijagnostikovati na osnovu rezultata jedne studije - magnetnom rezonancom (MRI) mozga.
Istina, uz jedan važan uslov: slike ne treba da proučava i analizira neurolog, već mašina koju je on obučio.
Tačnije, veštačka inteligencija.
Programi za samoučenje odavno su razvili sposobnost da dijagnostikuju mnoge bolesti, neke čak i bolje od lekara.
Jednostavno zato što nijedan lekar nije u stanju da ima na umu stotine ili čak hiljade rendgenskih snimaka, pa čak i u visokoj rezoluciji.
A čak i da može, svakom neurologu bi bili potrebni dani, ili čak nedelje, da uporedi svaki od njih sa „originalom" (slikom određenog pacijenta).
Kompjuterski algoritam završava isti zadatak za nekoliko sati.
Pitanje je koliko tačan može biti zaključak koji je izvela veštačka inteligencija?
Eksperimentalni odgovor na ovo pitanje nude naučnici sa Imperijal koledža u Londonu.
Najpre su nahranili pametnu mašinu sa skenovima mozga skoro 800 pacijenata, a zatim su joj dali zadatak od nje da analizira potpuno drugačiji skup slika.

Autor fotografije, Getty Images
Veštačka inteligencija je tačno identifikovala Alchajmerov sindrom u 98 odsto slučajeva.
Štaviše, kod 79 odsto pacijenata algoritam je tačno odredio u kojoj fazi je bolest, među kojima i u najranijoj.
Istraživači kažu da „do danas nijedna od jednostavnih i široko dostupnih dijagnostičkih metoda nije sposobna da predvidi razvoj Alchajmerove bolesti sa takvom zapanjujućom tačnošću".
„Iako ne postoji lek za Alchajmerovu bolest, njeno rano otkrivanje omogućava pacijentima [...] da dobiju svu dostupnu negu i podršku i započnu lečenje kako bi mogli lakše da se nose sa simptomima i planiraju budućnost", objašnjava se na sajtu univerziteta.
Alchajmerova bolest je jedna od najčešćih vrsta demencije, hronični i obično progresivni sindrom kod koga dolazi do pogoršanja pamćenja, govora, sposobnosti samostalnog razumevanja i mišljenja, kao i snalaženja u prostoru i brojanja u umu.
Prema procenama Svetske zdravstvene organizacije, oko 50 miliona ljudi širom sveta pati od ove bolesti, a godišnje oboli još oko šest, sedam miliona.

Pročitajte još nekoliko vesti o demenciji:

BBC na srpskom je od sada i na Jutjubu, pratite nas OVDE.
Vaš uređaj možda ne podržava prikazivanje ovog banera.

Pratite nas na Fejsbuku,Tviteru, Instagramu, Jutjubui Vajberu. Ako imate predlog teme za nas, javite se na [email protected]













